« Notre cabinet propose d'une large gamme d'analyses, sur des animaux aquatiques ou des prélèvements d'eau. »
Pour toute demande d'analyse, veuillez au préalable prendre contact avec nous, afin de préciser les conditions d'envoi.
Vous pouvez accéder aux résultats des analyses en ligne.
Autopsie :

Cet examen consiste en l'ouverture raisonnée d'un cadavre pour en étudier les lésions, effectuer des prélèvements et aboutir au diagnostic.
L'autopsie doit être pratiquée le plus tôt possible après la mort, faute de quoi des lésions peuvent être masquées, simulées ou modifiées par le processus de putréfaction.
Bactériologie : identification & antibiogramme

C'est l'ensemble des techniques permettant de cultiver sur des milieux spéciaux des bactéries prélevées sur un animal vivant (peau, branchie), ou récemment sacrifié (rate, rein ...).
Les bactéries sont ensuite isolées et subissent une batterie de tests (chimiques, biochimiques, sérologiques ...) afin de les identifier (genre, espèce).
Au final, on peut réaliser un antibiogramme, technique visant à tester in-vitro la sensibilité d'une souche bactérienne vis-à-vis des principaux antibiotiques.
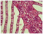
Histologie :

Elle consiste en l'étude microscopique de coupes ultrafines d'organes. Ces analyses mettent en évidence les altérations des tissus et peuvent en révéler la gravité et l'origine.
Les prélèvements (poissons entiers, organes ou morceaux d'organes) doivent être effectués à partir d'animaux fraichement sacrifiés et conservés dans un flacon étanche contenant un liquide spécial à base de formaldéhyde. Nous mettons à votre disposition gratuitement des kits d'envoi lors de nos visites.
Diagnostic moléculaire :

Les bactéries et les virus, comme tout organisme vivant, contiennent des acides nucléiques (ADN / ARN) qui leur sont spécifiques et permettent de les identifier.
La PCR est une technique extrêmement sensible d'amplification d'un fragment génétique originellement présent en 1 unique exemplaire, en des millions de copies. Elle permet donc de révéler des quantités très faibles de bactéries ou virus très précocement après le début d'une infection.
A ce jour, seules quelques maladies des poissons peuvent être diagnostiquées par cette technique.
Dosage de micropolluants :

Détermination des teneurs en pesticides, herbicides, métaux lourds, PCB (polychlorobiphenyls), PAH (hydrocarbures polyaromatiques), PCT, phtalates, dans l'eau, les sédiments ou les chairs de poissons.
Compte-tenu du coût parfois élevé, ces analyses sont réalisées uniquement lors de suspicion d'intoxication avec un agent ou une famille de molécule candidate.
Selon le type de micropolluant recherché et la nature du prélèvement, vous devez utiliser des conditonnements spécifiques ; contactez-nous pour en savoir plus.
Virologie :

Les virus, comme tout organisme vivant, contiennent des acides nucléiques (ADN / ARN) qui leur sont spécifiques et permettent de les identifier.
A ce jour, seules quelques maladies virales des poissons peuvent être diagnostiquées par cette technique.